How often should a bathroom be cleaned

How Often To Clean Bathroom Quick Tips Generally, routine bathroom cleaning in which you scrub the tub and shower walls should take place at least once a week. However, there are some parts of the bathroom that need to be addressed more frequently than every seven days. how often should a bathroom be cleaned

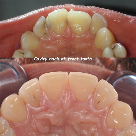
How to clean back of front teeth

How To Remove Tartar And Plaque From Your Teeth Without A Dentist. Tartar (also known as dental calculus) occurs on the teeth when plaque has been left to build up and it begins to calcify. how to clean back of front teeth

How to clean soleplate of an iron

How To Clean Iron Soleplate Quick Tips Whenrsquo;s the last time you cleaned your iron plate. Or maybe a better question is, have you ever thought about cleaning an iron soleplate. how to clean soleplate of an iron

How to clean bristle hair brush

How To Clean Hair Brushes: A Step-by-Step Guide As someone who has been in the hair game for a while, I know the importance of hair brush cleaning. Not only does hair brush cleaning make for a better hair-styling experience, but it also extends the life of your brushes. how to clean bristle hair brush

How to clean bottle nipples with vinegar

Cleaning cloudy, Stained Baby Bottles facebooktwittergoogle plus Itrsquo;s normal for your babyrsquo;s bottle to become slightly cloudy and stained after some time. Plastic baby bottles tend to become stained with things like: ingredients in formula feed juice foods cleaning products that may have artificial colouring in them water deposits calcium build-up from sterilizing use in the dishwasher daily use Staining and cloudiness will not affect the overall performance of your babyrsquo;s bottle as long as the bottle itself are in good condition; but there are times, however, when you may want to clean the stains from the bottle and make it look better. how to clean bottle nipples with vinegar

How to clean bad limescale from toilet

How To Remove Limescale From Your Toilet Remove Limescale With Cola The acidity of cola makes it really useful for cleaning purposes, particularly when trying to break down limescale. This is another method which will save you having to buy expensive specialist cleaners. how to clean bad limescale from toilet

How to clean lashes

How to Clean False Lashes, According to an Expert After getting lash extensions or applying a set of falsies, you might feel like a completely new person. Even with the recent popularity of lash growth serum to help you grow longer lashes, false lashes or extensions are still the go-to for many. how to clean lashes

How to clean a brass trumpet

How do you clean a trumpet for beginners. When you first learn how to clean a trumpet, you8217;ll want to take your time. how to clean a brass trumpet

How to clean a white bath

Everything You Need to Know to Deep Clean a Bathtub Is your bathtub looking dingy thanks to soap scum, hard water stains, or mold buildup. It may be time for a deep clean. how to clean a white bath

How to clean greasy keyboard laptop

How to Clean Your Laptop Keyboard Without Ruining It How to Clean a Laptop Keyboard With Alcohol Wipes Use this method to clean a laptop keyword before trying to remove the keys. If your keyboard is exceptionally dirty and the keys pop on and off, continue to the next method. how to clean greasy keyboard laptop

How to clean coffee stains

How To Remove Coffee Stains: Synthetic and Cotton Fabrics Every coffee drinker will eventually spill a cup on their clothes. If you have coffee often enough, in enough settings, youll eventually spill a drop or two 8212; or an entire mug. how to clean coffee stains

Baby too long for car seat

There are many different types of car seats, but theyre not one size fits all. Its incredibly important for your childs safety to have the right seat for their age, size, and proportions. baby too long for car seat

Php enable display errors

error_reporting (PHP 4, PHP 5, PHP 7, PHP 8) error_reporting mdash; Sets which PHP errors are reported Description error_reporting (?int ): int Parameters The new error_reporting level. It takes on either a bitmask, or named constants. php enable display errors

Stand up comedy open mic

I get a lot of messages from people asking my advice on where they should do their first open mic spot in London, and the answer really depends on what you want to get out of the experience. For most people your first open mic spot is all about just taking that leap and getting over your nerves. stand up comedy open mic

Sore breasts beginning pregnancy

Signs and symptoms of pregnancy Early signs of pregnancy Every pregnancy is different and not everyone will notice all of these symptoms. If you're worried about any symptoms you're having, talk to a GP or your midwife. sore breasts beginning pregnancy

Pan fried bream fillet

Pan-Fried Sea Bream Recipe 8211; The Ultimate Meal for One Last Updated on June 5, 2024 A simple method for pan-fried sea bream that can be used for a whole range of fish. This recipe for pan-fried Sea Bream is one I am sure that you will make again and again. pan fried bream fillet